We heard from a reader who has vitelliform macular dystrophy. I had never heard of it. Therefore you can image my surprise when I picked up an article I had downloaded last week and – guess what! – the article talked about vitelliform dystrophy! Sometimes the synchronicity in the Universe is scary.
Anyway, it appears the Universe has declared we are to learn about vitelliform dystrophy. Here we go!
I have discovered all macular diseases are not created equal. There are dozens of them and researchers are discovering more on a regular basis.
Vitelliform dystrophy may look like age-related macular degeneration and act like macular degeneration but it is not macular degeneration. (Don’t worry. We are not throwing you out of the group!)

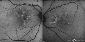
Vitelliform dystrophy is a pattern dystrophy. They are so called because the damage tends to ‘draw’ things on the retina. For example, one manifestation of the disease looks like a butterfly (photo to the right is a fundus photograph of butterfly pattern).
Vitelliform 2 is called Best disease. This is not because it is the best disease to have nor is it because Dr. Best hijacked the disease and named it for himself. It is because the disease comes as a result of a mutation on the BEST1 gene. (Apparently that means we all have BEST genes and there are at least two of them. How about that.)
Best disease is a pattern dystrophy because – all together now! – it makes a PATTERN on your retina. The pattern is a sunny-side-up egg. The yolk is centered on the fovea.
One of the nice things about Best disease is you may never know you have it. According to the Hereditary Ocular Disease site 7 to 9 percent of those with Best disease are asymptomatic. Others may experience vision loss but recover most of their function. A much smaller percentage may proceed to neovascularization and serious loss. Of course, the older we get the better chance we have of having some really serious problems. And by the way, children can have this one.
That is because, once again, it is genetic. Best disease is an autosomal dominant condition. That means it is on a body-forming chromosome – not the chromosome that has the x or the y and makes you a boy or a girl. It is also dominant and can express itself whether or not its partner gene wants it to. You only need one of these babies to be in trouble.
Of course there are all sorts of things that may or will affect whether or not this gene does actually express. However, this is not a place to discuss epigenetics. Nor am I the one to explain THAT baby! Suffice it to say, you should warn everyone you are related to by blood that it has expressed in the family and they need to have regular eye exams.
Like AMD there is absolutely no treatment and no cure. (I get so tired of typing that). If you have Best disease and progress to CNV you may profit from shots.
And that, my dears, is that.
